点击蓝字 / 关注我们
B超、彩超、X光、DR、CT、核磁共振检查是什么?有什么不同?
在体检过程中
你知道他们的区别吗
健康体检能够早期发现疾病和影响健康危险因素。疾病是在损害性因素下发生内部调节机制紊乱的异常生命活动。定期体检,及早发现,可以对抗和抵制其异常活动,避免出现症状时的痛苦。
Healthy
有些人虽然年年体检,却依然分不清那些影像学检查往往是体检套餐里有什么项目便去检查了,其实要分清这些检查很简单,下面为你一一介绍,了解它们的作用。
B超
彩超
# B超 #
# B超是什么 #
B超全称为B型超声,利用超声波在人体的组织中的反射、折射等物理特性,通过仪器接收信号,从而显示各种组织器官的形态,来判断病变部位、性质和功能损害的程度,这项技术在临床医学中用于早期明确诊断。
B超分为普通B超、彩色B超、三维B超和四维B超。普通B超为黑白,后三者均为彩色,三维B超和四维B超是目前比较先进的。
彩
超
# 是什么 #
彩超就是高度清晰的B超加上彩色多普勒,除了可以产生图像之外,还能具有色彩,提供血流动力方面的信息。彩超将彩色信号与二维的黑白超声图像叠加,实现血液的流动分布。由于这个特点,彩超主要用于心脏病和其他器官的血管中血流检测,获取血流的信息。彩超有二维、三维、四维之分,三维和四维可以立体成像,更加清晰全面地显示图像。
Color Doppler ultrasound
彩超的作用
彩超能直观地显示血流的分布状态,显示血流的分布状态,这对于血管病变的识别有很大帮助,还可以对血流的性质,比如速度、方向等。
# 超声检查的小知识 #
B超与彩色多普勒超声都属超声波技术,B超图像是所有超声波技术的基础,彩色多普勒超声只不过是扩展了超声技术探测疾病的能力。
1B超和彩超区别
空腹检查,腹部超声一般包含肝胆脾胰肾五个部位,其中的胆检查要求空腹,因为进食后,胃及肠道产生气体,影响超声的穿透,而且进食后胆汁的分泌会影响检查结果。
2空腹检查
憋尿,男性在做泌尿系统及前列腺彩超检查时,需要充盈膀胱也就是需要憋尿后才可以进行检查。女性做盆腔(子宫附件)超声检查需要憋尿,准妈妈在孕12周+因为胎儿的快速发育,子宫隆起,就不需要在提前憋尿啦,随到随做就好。如果有极特殊的超声憋尿困难,如尿道炎的问题女性可选择阴式彩超(不用憋尿),但不适宜孕期使用。
3憋尿
超声检查对孕妇和孩子有影响吗?超声检查对人体都是没有电离辐射,目前没有科学证据证明彩色超声检查会对胎儿的生长发育带来不良影响,所以彩超诊断是医学影像学中无创、无辐射,而且最安全的诊断方法。
4安全情况
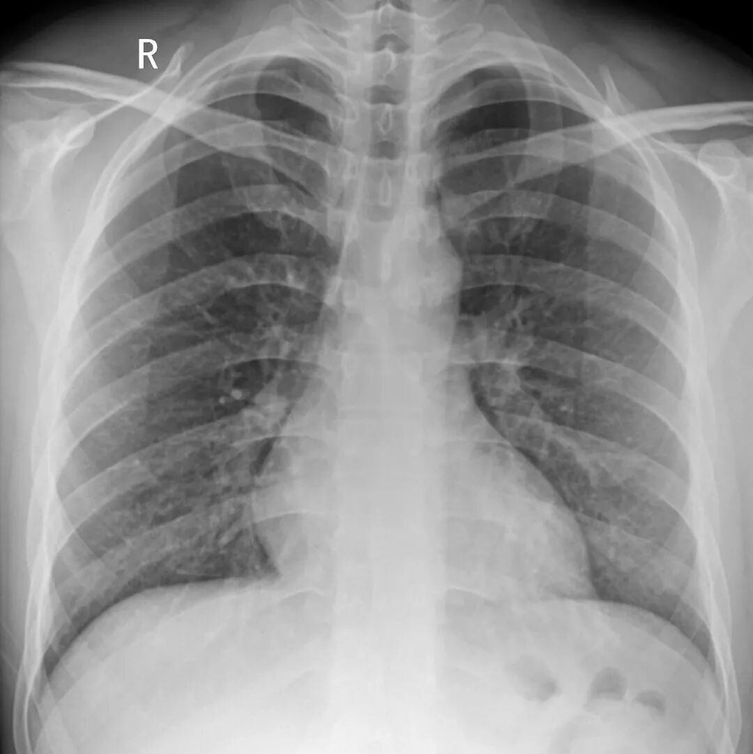
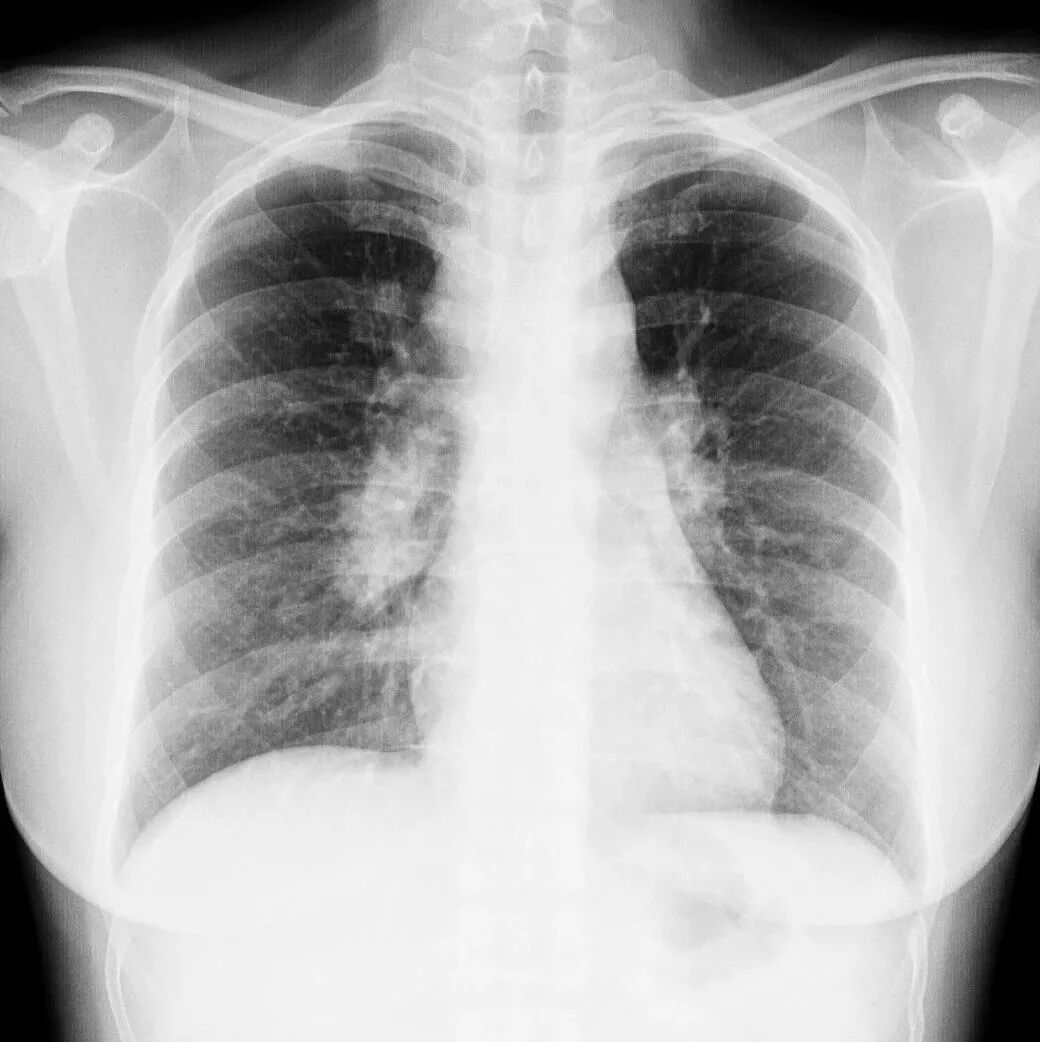
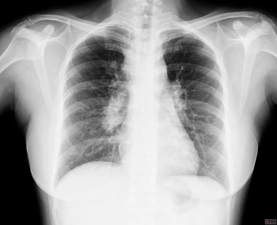
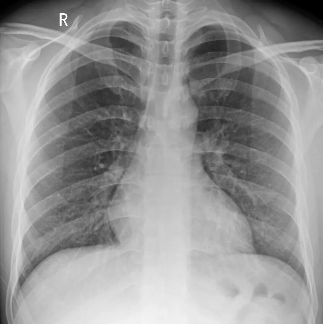
X 光
# X光检查 #
# 胸透和胸片/DR检查是什么 #
俗称拍片,最常见的影像检查,X射线具有穿透性,但人体组织间有密度和厚度的差异,当X射线透过人体不同组织时,被吸收的程度不同,经过显像处理后即可得到不同的影像。
X-ray
胸透和胸片DR作用
胸透和胸片主要用于检查诊断肺部疾病、心脏的大小、肋骨、胸膜、胸壁纵隔、支气管。为减少X线的损害,患者做检查不宜过多。
胸片DR和胸透还是有很大的区别的,当然它们都是检查胸部,也就是看肺这一块的。但是它们的区别还是比较大的,首先第一点它的辐射剂量有很大的差别,胸片DR,它的辐射剂量是非常的小,而胸透相对来说就要大一些了,主要是跟它辐射的时间有关系。
做胸片DR检查的话,它辐射的时间是非常短的,一般也就是零点零几秒的时间,非常的短,而胸透检查它这个辐射时间相对来说就要长一些了,一般是需要十秒钟的时间。当然如果发现有可疑的病灶,可能需要看的时间要更长一些了。正因为是这样,所以现在很多医院已经基本上取消了胸透检查了,都是用胸片来进行替代。
胸片的话一般是可以照出一张片子来,而胸透只是医生通过目视,通过眼睛来看,看完之后得出一个纸质报告,是没有这种片子的。
做胸片/DR注意事项
1 拍DR辐射会很大吧?
随着X光仪器不断改进,其放射剂量越来越小,加上胸透检查一般也在十几秒以内,对人体的危害非常微小,基本可忽略。
X-ray
2 检查时取下身上的金属物品
因为金属会影响胸透的影像,所以大家在去做胸透时,不要穿有金属装饰或者金属扣子的衣服,另外,女性文胸上的钢圈有时也需要注意,如果医生要求脱掉内衣,女性们应该有自我保护意识,去洗手间脱下文胸再穿上外衣进行胸透,要知道衣服是不会影响胸透的。
X-ray
3 怀孕能做胸透吗?
怀孕是不可以做胸透的,因为胸透使用的X射线会辐射人体,而这种辐射是有致胎儿畸形的可能的,尤其是怀孕的女性要注意,在孕期不要做胸透。
不过如果不小心做了胸透的准妈妈也不要太过担心,因为胸透检查的辐射剂量是有限制的,而且胸透也不会照射腹部,所以胎儿不一定会受到影响,这时候准妈妈们需要去医院检查,以确定胎儿没有受到辐射的影响。
X-ray
# X-ray #
# CT检查 #
# CT检查是什么 #
CT即电子计算机断层扫描,它是利用精确准直的X线束、γ射线、超声波等,与灵敏度极高的探测器一同围绕人体的某一部位作一个接一个的断面扫描,供完整的三维信息,具有扫描时间快,图像清晰等特点,可用于多种疾病的检查。
CT的辐射剂量相较于X光片大一点,普通健康体检检查尽量选择低剂量CT筛查而不是常规CT,怀孕妇女不宜进行CT检查。
肺部CT 检查
CT检查目前有两种检查方式
1、普通平扫
即常规的CT检查,一般只需要躺在CT机上面进行扫描便可,无需打造影剂,速度快,方便简洁,故常作为初次检查、急性病变的首要检查方案。
2、增强扫描
在平扫CT的基础上,静脉注射造影剂(常用碘对比剂),通过血液循环跑到全身组织器官中,相当于给平扫的CT润色一番,有助于更加准确地分辨血液循环丰富的器官组织病变,如肿瘤。
一般来说,如果普通平扫CT能看清楚病变,并能做出明确的影像学诊断,那就不需要进一步做增强CT了,否则,需要完善增强CT以明确诊断。
极少部分人会对造影剂有不良反应,故检查时需要医护人员及家属或朋友陪同。
温馨提醒
CT检查的作用
1
头部 脑出血、脑梗塞、动脉瘤、血管畸形、各种肿瘤、外伤、出血、骨折、先天畸形等可清楚显示脑挫裂伤、急性脑内血肿、硬膜外及硬膜下血肿、颅面骨骨折、颅内金属异物等,而且比其它任何方法都要敏感。CT诊断急性脑血管疾病如高血压脑出血、蛛网膜下腔出血、脑动脉瘤及动静脉畸形破裂出血、脑梗塞等有很高价值,急性出血可考虑作为首选检查。
2
胸部 肺、胸膜及纵膈各种肿瘤、肺结核、肺炎、支气管扩张、肺脓肿、囊肿、肺不张、气胸、骨折等;对于显示肺部病变有非常满意的效果,对肺部创伤、感染性病变、肿瘤等均匀有很高的诊断价值。对于纵隔内的肿物、淋巴结以及胸膜病变等的显示非常清晰也令人满意,可以显示肺内团块与纵隔关系等。
3
腹、盆腔:各种实质器官的肿瘤,外伤,出血、肝硬化、胆结石、泌尿结石、积水、膀胱、前列腺病变、某些炎症、畸形等能清晰的显示解剖的准确部位病变程度,对病变分期等有较高价值,有助于临床制定治疗方案,尤其对于手术科室的手术定位有重要意义。
4
脊柱、四肢:骨折。外伤。骨质增生、椎间盘病变、椎管狭窄、肿瘤、结核等;观察肿瘤向软组织浸润的情况,骨折、外伤、椎间盘病变等可以显示细小关节面的病变。
5
肝脏病变;CT检查对于肝内点位性病变、原发性肝癌或转移性肝癌的形态、轮廓、坏死、出血及生长方式等都可以显示,还可以了解胆、胰、肾等脏器的情况,所以慢性肝炎、肝硬化并存在可疑病变或肝癌的患者,非常有做CT检查的必要。肝CT检查对于早期肝硬化的诊断灵敏度较高。
6
心血管系统: 可用于心包肿瘤、心包积液等的诊断,急性主动脉夹层动脉瘤CT有肯定的诊断意义,特别是增强扫描具有特征性表现,并可做定性诊断。
CT检查注意事项
1 CT有辐射,对身体健康危害大吗?
CT检查会有辐射,但作为目前必要的医疗手段,它往往不可或缺,且遵循正规检查原则偶尔进行一两次检查并不会对健康造成显著影响。
此外,国家对各种检查中的辐射剂量有严格的管理标准,由专业放射科医师按规程操作,将放射强度和接触距离控制在标准范围内,注意对非检查部位和敏感器官进行屏蔽防护,不容易伤及受检者身体。随着X线技术的不断发展,检查设备也在不断更新,参数在不断优化,例如低剂量CT的发展就明显降低了CT的辐射剂量。
2 不适宜人群
一般来说,有几类人群不适合做ct检查,分别是幼儿患者、孕妇患者、心脏病患者、糖尿病患者、肾功能不齐全患者以及过敏体质患者。如果属于此类人群,一定要格外注意,不要强行进行CT检查,否则的话可能会加重身体不适,影响健康恢复,如有必要先考虑低剂量CT。
3 CT检查注意事项有哪些?
做CT检查前患者需要禁食,尽量排空肠胃内食物,以免影响检查结果。除此,患者还要注意检查前不能进行剧烈运动,也不能长时间运动,否则的话将会出现检查不准确的情况。
检查前患者还要注意排空小便,这样可以更清晰的观察膀胱内x显像,减少误诊和漏诊的情况。除了要注意这一方面之外,在检查前患者还要将身上的所有金属物品摘除,以免影响检查结果
检查时患者还要注意心情放松,不要说话,不要乱动,严格的按照医生的嘱咐进行,只有这样才能确定CT检查的准确性,
拓展延伸
PET、SPET-CT、PET-CT、PET-MRI又是什么呢?
PET(正电子发射断层成像)SPET-CT(单光子发射计算机断层成像)
属于核医学的两种CT技术需要使用特殊的放射性药物
PET-CT:将PET和CT有机的结合在一起,使用同一个检查床合用一个图像工作站,PET/CT同时具有PET,CT及将PET图像与CT图像融合等功能。目前,PET、SPET-CT进行癌症的早期诊断效果更好!
PET-MRI是将PET(正电子发射计算机断层显像)的分子成像功能与 MRI (核磁共振成像)卓越的软组织对比功能结合起来的一种新技术,也可以写作PET/MRI。
PET、SPET-CT、PET-CT、PET-MRI
辐射计算:PET-CT、PET-MRI两种,辐射也是叠加的,如PET-CT的辐射=PET的辐射+CT的辐射。PETCT检查过程中常用显影剂为FDG-18氟脱氧葡萄糖。
辐射情况
PET-CT能检查出什么疾病?
1. 恶性肿瘤
PET-CT对肺癌、乳腺癌、结肠癌、卵巢癌、淋巴瘤、黑色素瘤等恶性肿瘤的诊断准确率高。而且通过全身PET-CT检查对肿瘤是否发生了转移以及转移的范围一目了然,对临床医生判断是否需要手术切除恶性肿瘤以及切除的范围有重要指导作用。
2. 神经系统疾病
PET-CT可用于定位癫痫灶,评价缺血性脑血管病、卒中、脑血栓或脑溢血后脑功能情况以及脑缺血前后血液动力学的变化。
3. 心血管疾病
PET-CT能检查出冠心病心肌缺血的部位、范围,并对心肌活力准确评价,确定是否需要行溶栓治疗、安放冠脉支架或冠脉搭桥手术,并且通过治疗前后显像对照评价治疗效果。
检查疾病情况
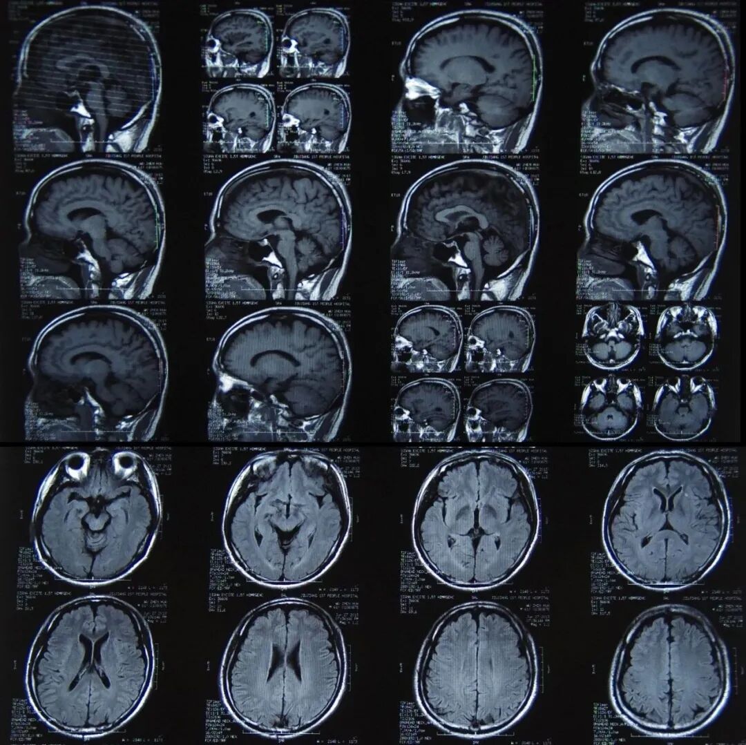
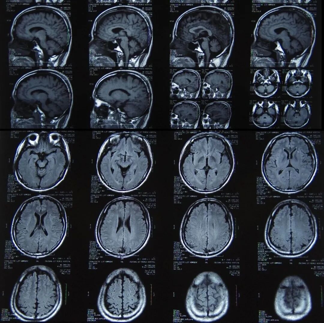
MRI
核磁共振
MRI
# 核磁(MRI、核磁共振) #
# 核磁共振检查是什么 #
MRI
核磁共振成像又称自旋成像,也称磁共振成像,简称MRI,是利用核磁共振原理,依据所释放的能量在物质内部不同结构环境中不同的衰减,通过外加梯度磁场检测所发射出的电磁波,即可得知构成这一物体原子核的位置和种类,据此可以绘制成物体内部的结构图像。
将这种技术用于人体内部结构的成像,就产生出一种革命性的医学诊断工具。快速变化的梯度磁场的应用,大大加快了核磁共振成像的速度,使该技术在临床诊断、科学研究的应用成为现实,极大地推动了医学、神经生理学和认知神经科学的迅速发展。
MRI
通俗来讲:
核磁共振仪是用强大的磁场让身体里的氢原子先排好队再解散,接收这段时间的电磁波信号,再给身体内部画像。相当于用手摇一摇,让水分子振动起来,再平静下来,成像。
# MRI #
核磁共振的作用
核磁共振成像是一种利用核磁共振原理的最新医学影像新技术,对脑、甲状腺、肝、胆、脾、肾、胰、肾上腺、子宫、卵巢、前列腺等实质器官以及心脏和大血管有绝佳的诊断功能。
与其他辅助检查手段相比,核磁共振具有成像参数多、扫描速度快、组织分辨率高和图像更清晰等优点,副作用很小,不具有辐射,可帮助医生“看见”不易察觉的早期病变,目前已经成为肿瘤、心脏病及脑血管疾病早期筛查的利器。
MRI
MRI检查注意事项
1 核磁共振有辐射吗,对身体健康有哪些危害?
在临床上经常使用的核磁共振并没有任何辐射,虽然它的名字中带有一个核,但这个核是指原子核,并不存在任何的电离辐射,核磁共振主要是利用射频脉冲激发释放能量,而这种射频脉冲主要是电磁波通过电磁波在磁共振中采集图像,而这种电磁波对身体的影响基本是可以忽略,所以核磁共振中并不存在核辐射,患者在需要检查的时候也不用担心会带来辐射和排斥,也不会有核辐射伤害组织。
做磁共振一般感觉不适主要是噪音和心理因素,很多去检查时,扫描开始时巨大的敲击声和振动会把有的病人吓得跳起来,还有人不能自主地抖动。
MRI
2 核磁共振检查注意事项有优缺点?
磁共振成像的优点:
核磁成像的最大优点是它是当前少有的对人体没有任何伤害的安全、快速、准确的临床诊断方法。
具体说来有以下几点:对软组织有很好的分辨力。对膀胱、直肠、子宫、阴道、骨、关节、肌肉等部位的检查比CT优胜;对于椎间盘和脊髓,可作矢状面、冠状面、横断面成像,可以看到神经根、脊髓和神经节等。不像CT只能获取与人体长轴垂直的横断面;
对人体没有电离辐射损伤;
MRI的主要缺点有:
和CT一样,MRI也是解剖性影像诊断,很多病变单凭核磁共振检查仍难以确诊,不像内窥镜可同时获得影像和病理两方面的诊断;对肺部的检查不优于X射线或CT检查,对肝脏、胰腺、肾上腺、前列腺的检查不比CT优越,但费用要高昂得多;对胃肠道的病变不如内窥镜检查;扫描时间长,空间分辨力不够理想;由于强磁场的原因,MRI对诸如体内有磁金属或起搏器的特殊病人不能适用。
每种影像学检查各有它的长处和不足,需根据不同部位及检查的重点选择不同的影像学检查。它们不单单是价格有差异,从功能上这些检查应该怎么选择呢?
选择合适的检查
最常用CT、核磁急性中风、脊柱外伤先做CT,详细分析时可用核磁
脑和脊髓
最常用核磁,其次是CT
脊柱(颈椎、腰椎、胸椎)
最常用X光片、CT大致了解选X光片,细致分析选CT肺的检查一般不选核磁
胸部
心脏功能选B超
冠心病选冠脉造影或CT核磁也可用于心脏检查
心脏
最常用B超
除肠道外,一般B超都能查,CT、核磁有时也会用到
腹部、盆腔
最常用X光片
诊断不明确,可用CT
骨骼、四肢
检查可以用核磁
关节软组织及骨肿瘤






