来源:影像园
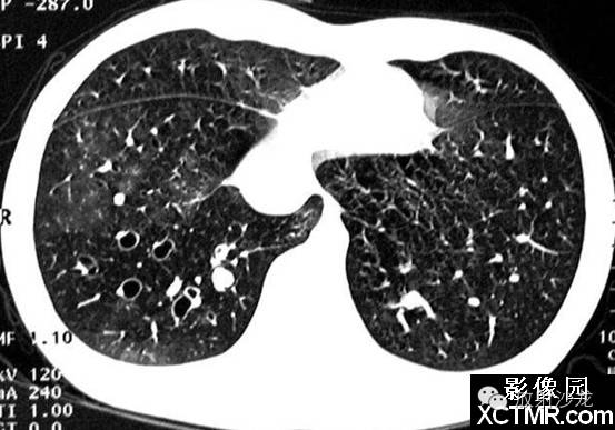
印戒征见于胸部CT扫描。它是由一小圆形软组织密度影邻接一围绕大圆形低密度空气影的环状软组织密度影构成。
在横断面CT扫描上,环状软组织密度影代表扩张的支气管壁,圆形低密度空气影代表扩张的支气管内气体。与环邻接的圆形软组织密度影代表与扩张支气管伴行的肺动脉的横断面影像。
印戒征是支气管扩张患者的CT表现。支气管扩张定义为不可逆性支气管异常扩张。扩张的支气管一般在中等大小的支气管最广泛。同时,可以发生支气管肌肉萎缩,支气管壁破坏,支气管周围炎症和纤维化。由于纤毛活动减弱和支气管动力学异常,大量粘液聚集在这些扩张的支气管内。
支气管扩张常由于坏死性病毒性或细菌性支气管炎后支气管壁损伤引起,常发生在婴幼儿期。支气管扩张也可发生在阻塞的支气管远端,当分泌物聚集在阻塞支气管的远端导致它们扩张。进展期肺纤维化或放射性肺损伤也能引起支气管扩张。囊性纤维化;通气压增高,例如正压通气;纤毛功能紊乱,如Kartagener综合症以及各种免疫缺陷都同样与支气管扩张有关。
支气管扩张一般分为三种形态学类型。柱状支气管扩张,最轻的形式,特征是支气管轻度均匀扩张。静脉曲张样支气管扩张是指支气管中度扩张,呈不规则串珠样。囊状扩张是最严重的,支气管显著囊样扩张,伴有数量不等的分泌物池。
支气管扩张的临床表现常为非特异性的。慢性咳嗽,过量痰,反复肺部感染,咯血都可以出现。尽管胸部平片可以显示扩张的支气管,CT可以提高我们发现支气管扩张的能力。事实上,CT已经取代支气管造影,成为评估支气管扩张可能的研究选择。薄层CT对发现支气管扩张的敏感性为87%-97%,特异性为93%-100%。
支气管扩张的胸部平片表现包括扩张的充气支气管,支气管壁增厚,肺实质体积减小,支气管聚集。也能见到由于肺炎或纤维化所致的肺透亮度异常。在薄层CT可见到支气管扩张,缺乏支气管尖端变细,在胸膜1cm内见到支气管,支气管壁增厚和印戒征等。支气管与动脉比率随不同参数而变化,例如CT扫描的海拔高度,因此,仅发现支气管直径大于相邻动脉不足以诊断支气管扩张。
以CT为基础诊断支气管扩张有几个缺陷,包括呼吸运动或心脏搏动所致的运动伪影,与层厚和窗相关的技术因素。因此常需要用薄层CT来诊断支气管扩张。
支气管扩张症
支气管扩张(bronchiectasis)是指支气管内径的异常增宽,可为先天性,但多为后天性,好发于儿童及青年。咳嗽、咳痰、咯血为支气管扩张的三个主要症状,合并感染时可有发热、胸痛。如病变广泛,可有呼吸困难、发绀及杵状指等。
先天性支气管扩张是由于支气管管壁弹力纤维不足或软骨发育不全所致。后天性支气管扩张的主要病因为支气管壁组织破坏、支气管内压增高、肺不张及肺纤维化对支气管产生外在性牵引。根据扩张的形态可分为:①柱状支气管扩张;②囊状支气管扩张;③曲张型支气管扩张。
1.X线表现 ①早期轻度支气管扩张在平片上可无异常发现;②较严重的支气管扩张可见局部肺纹理增多、增粗、排列紊乱,扩张的支气管表现为粗细不规则的管状透亮影,如含有分泌物则表现为不规则的杵状致密影,囊状支气管扩张表现为多个圆形或卵圆形透亮区,有时可见小液平;③继发感染时,表现为小斑片状或较大片状模糊影。
2.CT表现 ①HRCT可见支气管壁增厚,管腔增宽,距胸膜下3cm的肺周边部也见到支气管;②可见“轨道征”和“印戒征”,扩张的支气管管径大于伴行的肺动脉直径,此时如支气管的走行方向与CT扫描平面垂直,即构成特征性的“印戒征”;如支气管走行与CT扫描平行时,表现为“轨道征”;③扩张的支气管内为黏液所充盈时,表现与血管伴行而粗于血管的柱状或结节状高密度影;④曲张型支气管扩张管壁不规则,可呈串珠状;囊状支气管扩张则表现为一组或多发性含气的囊肿,若囊内充满液体则呈现一串葡萄状,囊内出现气液平面是囊状支气管扩张最具特异性的征象
囊状支气管扩张有时需与多发性肺囊肿及肺气囊等病变鉴别。多发性肺囊肿相对较大,囊壁相对较薄,较少有液平面,可资鉴别。肺气囊多见于金黄色葡萄球菌肺炎,呈多个类圆形的薄壁空腔,其变化快,常伴有肺内浸润病灶或脓肿,且常随炎症吸收而消退。
——经典内容——
推荐阅读→【经典内容】新乡医学影像经典内容汇总
推荐阅读→《医学影像诊断学》本科教材视频解读
本微信平台属于个人公益性医学影像类学习平台,本微信所有转载文章系出于传递更多信息之目的,且明确注明来源和作者,所有转载视频只用于基层教学使用,且明确注明授课专家姓名,不希望被转载的原作者及老师可与我们联系,我将立即进行删除处理。











