尽管印戒征是支气管扩张症的特征性胸部CT征象,但印戒征还可见于多种疾病。
在印章文化流行的时代里,商界或政治界的绅士常常在小指戴上刻有图章的戒指。除了具备装饰或象征身份显赫的作用,这种印戒是一种用于签署重要文件的印章。一些刻有家族徽章的印戒,还可能需要用热蜡进行盖印。
除此之外,印戒也被赋予了医学涵义。例如众所周知的印戒细胞癌(Signet ring cell carcinoma),这是一种常发生于胃肠道、膀胱、乳腺和前列腺等部位的黏液分泌型腺癌。如此如雷贯耳的名声源于镜下这种肿瘤细胞的细胞质充满黏液,细胞核被“排挤”位于胞质一侧,因此呈印戒样外观。
在影像学世界中,亦常见印戒征(Signet ring sign)粉墨登场。那么,这一特殊的影像学征象可见于哪些疾病呢?
支气管扩张症影像学表现
印戒征之所以名声在外,正是因为支气管扩张症的影像学表现。支气管扩张症是支气管直径的不可逆性扩大,可呈局灶性或弥漫性病变,通常与慢性感染、近端气道梗阻或先天性支气管畸形有关。
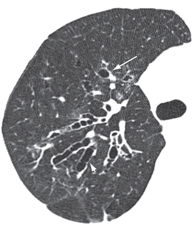
在正常情况下,支气管分支与肺动脉或支气管动脉相伴,支气管分支的直径与毗邻肺动脉或支气管动脉的直径相等。而在支气管扩张症患者的胸部CT(尤其是HRCT或MSCT)中,由于扩张的支气管分支直径超过肺动脉或支气管动脉直径(一般超过1.5倍),因此支气管扩张症在轴位图像上形成与印戒相似的常见征象(即印戒征),如下图所示。

左图:支气管扩张症患者的胸部CT:左肺下叶可见扩张的支气管与邻近肺动脉形成印戒征(箭头)。右图:印戒[2]
印戒征可见于肺野中的任何部位,但更常见于中等大小的支气管[1-2]。在一项针对支气管扩张症患者的胸部MSCT扫描的回顾性研究中,支气管扩张症的影像学征象中以印戒征最为常见(35.9%)[3]。
除了印戒征,支气管扩张症的常见影像学征象还包括支气管直径在分叉处远端仍维持在2 cm以上或双轨征(tram-track sign),或在胸膜1 cm以内仍可见支气管影,常伴支气管周围增厚、粘液嵌塞(支气管壁破坏和纤毛功能受损)[4]。

支气管扩张症:印戒征(长箭头)和双轨征(短箭头)[4]
有趣的是,有些“较真”的学者认为印戒中印章的表面较为平坦,而印戒征中肺动脉形成的高密度影为圆点状曲面,因此建议将印戒征改为更为惟妙惟肖的pearl ring sign(珍珠戒指征)[2],但这一说法尚未被广泛接受。

pearl ring sign(珍珠戒指)[2]
这些病,都与支气管扩张有关!
不难理解的是,印戒征亦可见于与支气管扩张有关的多种疾病,包括囊性纤维化、间质性肺病、过敏性支气管肺曲霉病(ABPA)、Kartagener综合征和先天性纤毛不动综合征、多种免疫缺陷病等。
例如,以下是一位患有囊性纤维化的年轻患者的胸部CT,可见多发支气管扩张和印戒征[5]。

囊性纤维化患者的胸部CT:印戒征[5]
在Wang L曾报道一例慢性咳嗽、咳痰10年的38岁女性,胸部CT示弥漫性支气管扩张(左肺上叶、舌叶和左肺下叶印戒征),左肺下叶支气管狭窄伴多发边缘清晰的结节影。支气管镜和病理检查证实为异物吸入,医生经询问病史发现,过去10年内患者经常在睡觉时口含黄连以治疗味觉异常,由此证实为黄连吸入后继发的支气管扩张症[6]。

异物吸入并发支气管扩张症的38岁女性:胸部CT示印戒征和多发结节影[6]
肺动脉血流减少
尽管印戒征是支气管扩张症的基本CT征象,但在以肺动脉血流减少为特征的疾病中也可见到印戒征,其中包括肺动脉近端中断和慢性肺血栓栓塞。值得注意的是,此时构成印戒征的血管常常不是肺动脉,而是支气管动脉。
右肺动脉近端中断是一种罕见的发育异常,所谓“中断”更常见于肺动脉缺如,通常与其他先天性心脏畸形有关,如室间隔缺损、法洛四联征、主动脉缩窄、主动脉瓣狭窄、大血管转位、弯刀综合征和主-肺动脉瘘。
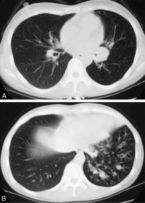
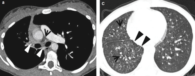
例如,以下是一例右肺动脉近端中断的10岁女孩。胸部增强CT扫描(主支气管水平,纵隔窗,左图)可见右肺动脉近端在心包内中断(黑箭头),且右支气管动脉及其分支增粗(白箭头)。肺窗(心室水平,右图)可见由扩张的支气管和伴随的支气管小动脉构成的印戒征,伴小叶中心毛玻璃密度结节(细箭头),右肺可见小叶间隔增厚(粗箭头)[7]。

右肺动脉近端中断的10岁女孩的胸部增强CT(左:纵隔窗;右:肺窗)[7]
慢性肺血栓栓塞是肺动脉血流减少的一种常见原因。以下是一例50岁非吸烟者的胸部CT图像,患者既往有双侧大面积急性肺栓塞病史,3年后转为慢性肺栓塞。薄层CT吸气相可见右肺叶各支气管分支有圆柱状扩张伴微小动脉影,呈现与印戒征相似的影像学表现(箭头),舌部存在马赛克征[8]。

50岁慢性肺血栓栓塞患者的胸部CT:印戒征样影像学表现[8]
综上所述,尽管印戒征是支气管扩张症的特征性胸部CT征象,但印戒征还可见于囊性纤维化、间质性肺病、过敏性支气管肺曲霉病、Kartagener综合征、先天性纤毛不动综合征、免疫缺陷等多种与支气管扩张症相关的疾病。此外,肺动脉近端中断和慢性肺血栓栓塞等原因引起的肺动脉血流减少亦可见到印戒征的身影。
参考资料:
[1]Oktay Algın,Gökhan Gökalp,Uğur Topal.Signs in chest imaging[J].Diagnostic&Interventional Radiology,2011,17(1):18-29.
[2]Ouellette H.The signet ring sign.Radiology.1999 Jul;212(1):67-8.doi:10.1148/radiology.212.1.r99jl2067.PMID:10405722.
[3]Sabri Y Y,Hafez M A F,Assal H H M,et al.Emphasizing the role of multi-detector computed tomography chest in the etiological diagnosis of pulmonary bronchiectasis[J].Egyptian Journal of Radiology and Nuclear Medicine,2018,49:S0378603X18301128-.
[4]Silva CI,Marchiori E,Souza Júnior AS,Müller NL;Comissão de Imagem da Sociedade Brasileira de Pneumologia e Tisiologia.Illustrated Brazilian consensus of terms and fundamental patterns in chest CT scans.J Bras Pneumol.2010 Jan-Feb;36(1):99-123.English,Portuguese.doi:10.1590/s1806-37132010000100016.PMID:20209314.
[5]Chiarenza A,Esposto Ultimo L,Falsaperla D,Travali M,Foti PV,Torrisi SE,Schisano M,Mauro LA,Sambataro G,Basile A,Vancheri C,Palmucci S.Chest imaging using signs,symbols,and naturalistic images:a practical guide for radiologists and non-radiologists.Insights Imaging.2019 Dec 4;10(1):114.doi:10.1186/s13244-019-0789-4.PMID:31802270;PMCID:PMC6893008.
[6]Wang L,Pudasaini B,Wang XF.Diagnose of occult bronchial foreign body:A rare case report of undetected Chinese medicine aspiration for 10 long years.Medicine(Baltimore).2016 Aug;95(31):e4076.doi:10.1097/MD.0000000000004076.PMID:27495017;PMCID:PMC4979771.
[7]Lee K.S.,Han J.,Chung M.P.,Jeong Y.J.(2014)Signet Ring Sign.In:Radiology Illustrated:Chest Radiology.Radiology Illustrated.Springer,Berlin,Heidelberg.https://doi.org/10.1007/978-3-642-37096-0_15
[8]Remy-Jardin M,Remy J,Louvegny S,Artaud D,Deschildre F,Duhamel A.Airway changes in chronic pulmonary embolism:CT findings in 33 patients.Radiology.1997 May;203(2):355-60.doi:10.1148/radiology.203.2.9114088.PMID:9114088.





